Nat Genet | 单细胞空间多组学揭示了 AREG-CXCL5-中性粒细胞轴在胆囊癌免疫治疗耐药中的关键作用
胆囊癌(GBC)恶性程度高,常在晚期才被诊断,预后不佳,其复杂的肿瘤异质性更是治疗上的巨大挑战。尽管单细胞技术在多种癌症研究中取得进展,胆囊癌的大规模单细胞研究仍相对匮乏,极大限制了对原发性胆囊癌早期转移和免疫抑制性微环境分子机制的理解。
研究结果·
1.构建大规模胆囊癌单细胞图谱
为了探究胆囊癌肿瘤微环境(TME)的异质性,收集了 86 名胆囊癌患者样本(包括75 例腺癌、4 例腺鳞癌、4 例神经内分泌肿瘤、2 例未分化癌和 1 例鳞状癌)、16 名无肿瘤患者的胆囊病变样本(包括9 例黄色肉芽肿性胆囊炎、4 例慢性胆囊炎、2 例低度恶性病变和 1 例高度恶性病变)、2 个息肉样本、11 个肝脏侵袭性病变样本、不同组织的 20 个远处转移灶样本(12 个淋巴结、6 个肝脏和 2 个网膜),总共135 个样本进行单细胞 RNA 测序(图 1a)。对189 个样本进行全外显子测序(WES)(图 1a)。获得了 1,117,245 个细胞,识别出了 11 种细胞类型和118 种亚型(图 1)。

图1胆囊癌的单细胞图谱
2.巨噬细胞介导中性粒细胞富集
对单核细胞、巨噬细胞、中性粒细胞进行重聚类,之后通过差异表达分析、SCENIC、基因特征评分及Ro/e分析,识别出了5种具有不同功能的细胞亚型,如N_C0_MNDA、N_C1_ISG15、N_C2_CCL3L1、N_C7_MNDA_S100A8、N_C9_S100A10(图 2a–g)。值得注意的是,伪时间分析表明,N_C0_MNDA 和 N_C7_MNDA_S100A8 是最先被招募的中性粒细胞亚型(图 2c、d)。根据临床诊断将Adeno_Pri(原发性腺癌)分为Adeno_Pri (P)和转移性Adeno_Pri (P_Mets),并发现几乎所有常见的中性粒细胞亚型在 P_Mets 组中均显著增多(图 2h、i)。
鉴于 N_C0_MNDA 和 N_C7_MNDA_S100A8 是肿瘤相关中性粒细胞(TANs),进一步通过CellChat发现多种巨噬细胞亚型参与了中性粒细胞的募集,且趋化因子在巨噬细胞亚型(M_C0_FOLR2 和 M_C2_SPP1)中显著上调(图 2j、k)。巨噬细胞亚型(M_C0_FOLR2 和 M_C2_SPP1)中 CXCL2、CXCL3 和 CXCL8随着 TNM 分期呈现逐渐升高的趋势(图 2l)。与 N_C0_MNDA 和 N_C7_MNDA_S100A8不同,N_C7_MNDA_S100A8 表现出更高的中性粒细胞外陷阱(NETs)评分(图 2m-p)。与CellChat结果一致,CODEX 技术检测到了中性粒细胞和巨噬细胞之间的空间接近关系(图 2p)。这些结果表明巨噬细胞可能招募早期浸润的中性粒细胞亚型(N_C0_MNDA 和 N_C7_MNDA_S100A8),随后在肿瘤微环境的诱导下分化为 TAN 亚型,最终形成富含促转移性 TAN 的腺癌微环境。

图2 巨噬细胞介导中性粒细胞富集
3.促肿瘤的树突状细胞亚型在P_Mets 中富集
将 13,571 个树突状细胞分为八个亚群,其中七个常见细胞亚群被用于后续分析(图 1e)。大部分DC亚型在Adeno_Pri中减少(图 3a-e)。DC_C4_PPP1R14A_cDC2 在 P_Mets 组中最丰富(图 3f)。DC_C4_PPP1R14A_cDC2 是脂质抗原呈递 DC 细胞,且CD1A 在疾病进展中表现出显著增加(图 3g-k)。细胞间互作分析显示,DC_C4_PPP1R14A_cDC2 通过 ANXA1-FPR1与髓系亚型(尤其是 M_C1_S100A8)相互作用(图 3l,m)。CODEX验证了这两个亚型在空间上彼此靠近,表明 DC_C4_PPP1R14A_cDC2 可能通过 ANXA1-FPR1 招募 M_C1_S100A8(图 3n)。这些结果表明 DC_C4_PPP1R14A_cDC2 具有脂质抗原呈递细胞的特性,DC_C4_PPP1R14A_cDC2 可能通过 ANXA1–FPR1 招募 M_C1_S100A8。

图3促肿瘤的树突状细胞亚型在P_Mets 中富集
4. P_Mets 富含AREG+ naïve CD4+T细胞
将 CD8 T 细胞、CD4 T 细胞、NK细胞、B 细胞和浆细胞分别聚类为 10 种、8 种、8 种、5 种和 2 种常见亚型(图 1e)。在Adeno_Pri中大量存在的CD8T_C1_CXCL13_TEX 在早期阶段表现出增强的细胞毒性及免疫检查点活性,但从 IIIB 到 IVB 状态则表现出细胞毒性减弱,表明晚期中其状态已转变为耗竭状态(图 4a-c)。功能的转变可能通过 CD86-CTLA4 与 M_C1_S100A8 的相互作用来调节,这一点通过细胞互作分析和 CODEX 得到了证实(图 4d、e)。
此外,发现富集于 P_Mets 的 CD4T_C2_CCR7_TN 细胞高表达 AREG 和Naive标志物(IL7R)(图 4f、g)。随着疾病的发展,Adeno_Pri 中 CD4T_C2_CCR7_TN 的 AREG 表达和比例逐渐增加,同时伴有与 TNM 分期相关的动态功能变化(图 4h、i)。在不同类型的转移中,CD4T_C2_CCR7_TN 在 Adeno_LN 中最为常见,AREG 的表达仅在腺瘤性淋巴结中被检测到(图 4j-l)。AREG 仅在胃癌、肝内胆管癌和远端胆管癌naive CD4+ T cells中表达(图 4m-p)。GO富集分析表明IL-10 信号通路在CD4T_C2_CCR7_TN中上调,表明可能调节免疫激活(图 4q)。综上所述,CD4T_C2_CCR7_ TN在P_Mets富集,其特征是 AREG 高表达。

图4 P_Mets 富含AREG+ naïve CD4+T细胞
5. 胆囊腺癌的TME分层
为了进行疾病分层,选择了随着疾病进展显著变化的亚型对腺癌患者进行分层,获得了5种TME分层(MI1–MI5)(图 5a、b)。预后分析显示,晚期样本富集的 MI2 表现出临床效果不佳(图 5c)。公共数据库bulk RNA-seq数据也表明MI2 富集的患者预后不良,且MI2 特定细胞亚型(CD8T_C0_CCR7_GZMK_TCM、CD8T_C12_TRDC_γδT 和 CD4T_C2_CCR7_TN)也显著富集(图 5e、f)。综上所述,MI2 中独特的淋巴细胞亚型可能是其预后表现的关键因素。

图5胆囊腺癌的TME分层
6.肿瘤微环境的空间互作特征
为了识别肿瘤细胞亚型,作者提出了一种名为 AI-EPI 的计算方法(图 6a)。获取了七个患者共有的基因模块(GMs,如GM8、GM1、GM16、GM5、GM3、GM7、GM6),并基于共有的 GMs 将肿瘤细胞分为了不同的细胞状态(图 6b–d)。进一步分析发现 GM16 在 P_Mets 中得分更高,在 IIIB 期中得分最高(图 6e、f)。肿瘤异质性与 GM16 得分也表现出强相关,GM16高得分样本表现出不良预后(图 6g、h)。
为了探究 GM16 与富含 P_Mets 的细胞亚型之间的空间相互作用,对 GM16 评分较高的2个样本进行了空间转录组测序。GM16 与这些细胞亚型(B_C0_IGHA1、M_C1_S100A8、DC_C4_PPP1R14A_cDC2、CD4T_C2_CCR7_TN、CD8T_C0_CCR7_GZMK_TCM)具有较高的空间相关性(图 6i)。这一发现也得到了细胞互作分析的支持(图 6j)。总之,GM16与多种富集在P_Mets中的免疫细胞亚型(包括B细胞、巨噬细胞、树突状细胞、CD4+T细胞和CD8+T细胞)存在显著的空间共定位,表明这些免疫细胞倾向于聚集在GM16肿瘤细胞周围,形成一个紧密的“合作”网络。

图6肿瘤微环境的空间互作特征
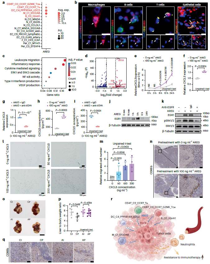
7. AREG 通过 EGFR–pERK–EGR1上调CXCL5来促进胆囊癌转移
进一步发现 AREG 仅在与 GM16 接近的细胞亚型中表达(如CD8T_C0_CCR7_GZMK_TCM、 CD4T_C2_CCR7_TN、DC_C4_ PPP1R14A_cDC2、M_C1_S100A8 和 B_C0_IGHA1),而在远离 GM16 的内皮细胞、成纤维细胞和中性粒细胞亚型中未表达(图 7a)。AREG 不仅在巨噬细胞、B 细胞和 T 细胞中表达,还在上皮细胞中表达(图 7b)。为了进一步探究在 AREG 刺激下肿瘤细胞的功能变化,对AREG 处理的 GBC-SD 细胞进行RNA-seq分析,发现CXCL5 显著上调(图 7c-e)。鉴于 AREG 是 EGF 家族的一员,因此推断 AREG 可能 EGFR 调节 CXCL5 的表达。湿实验结果表明anti-EGFR处理抑制了这一效应(图 7f-i)。此外,体内外实验证实,AREG 不仅促进肿瘤转移,还通过EGFR-pERK-EGR1 信号通路上调肿瘤细胞 CXCL5 的表达,招募中性粒细胞浸润,进而削弱免疫治疗(如 PD-L1 抗体)的疗效(图 7l-r)。这些结果表明,AREG 通过 EGFR–pERK–EGR1上调CXCL5来促进胆囊癌转移。

图7 AREG 通过 EGFR–pERK–EGR1上调CXCL5来促进胆囊癌转移
原文链接://www.nature.com/articles/s41588-025-02236-9
千亿国际入口多组学服务
qy千亿国际-千亿(中国)唯一官方网站 提供多组学服务(如转录组、Astral蛋白组、代谢组、微生物组、Cut&Tag等)和单细胞及空间转录组服务(如10x Genomics GEM-X单细胞转录组(V4.0)、10x Genomics单细胞转录组(V3.1)、10x单细胞转录组及TCR/BCR、墨卓单细胞转录组、DNBelab C-TaiM4单细胞转录组、CytAssist空间转录组、HD空间转录组、Stereo-seq 空间转录组等),致力于为广大生命科学家、医学工作者提供基于多组学的科研及临床应用解决方案。累计协助客户在Advanced Science、Journal of Nanobiotechnology、Advanced Functional Materials、ACS Nano、Nature Aging、Neuron等期刊发表SCI论文,并推出了广受好评的生信分析云平台【//analysis.24louxia.com/】,助您高效实现个性化数据挖掘!

更多活动详情可长按或扫描上方二维码,填写表单,我们将尽快安排专人与您联系!
qy千亿国际-千亿(中国)唯一官方网站
上海qy千亿国际-千亿(中国)唯一官方网站 技术(集团)股份有限公司(股票代码:688238)作为一家在科创板上市的高新技术企业,自2013年成立以来,始终深耕细胞和基因治疗核心领域,专注于为细胞和基因治疗的基础研究提供基因治疗载体研制、基因功能研究、药物靶点及药效研究等CRO服务,可提供①组学服务:常规转录组、单细胞转录组、基因组、代谢组及蛋白组等。②载体构建和病毒包装:质粒、siRNA、腺相关病毒(AAV)、腺病毒(ADV)、慢病毒(LVV)、逆转录病毒(RV)、单纯疱疹病毒(HSV)等病毒载体服务,提供R&D、实验室级别、GMP级别,满足研发、小动物、大动物NHP到临床的不同研究阶段的使用需求。③细胞实验服务:过表达、干扰稳定株构建,单克隆细胞株构建服务及细胞功能学、药效学实验服务。④动物实验及机制研究:神经、代谢、肿瘤动物模型、药效药代、病理切片及蛋白、核酸检测服务。⑤特色项目服务:CRISPR文库筛选服务,外泌体整体研究服务,AAV衣壳筛选服务、听力研究整体项目服务,满足客户定制化或一站式项目服务,助力基础科学研究,促进基础研究到临床转化应用,推动细胞和基因治疗行业发展。