AAV股票代码
688238
腺相关病毒股票代码
688238
药理药效学评价

药理药效学评价

全国服务热线400-151-5198      业务咨询15800353038

  qy千亿国际-千亿(中国)唯一官方网站 动物实验平台可提供小动物解剖、病理检测、相关药效评价及药代动力学等服务项目。
  
  1、病理检测
  
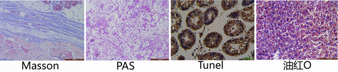
  动物实验部配备有小动物解剖室、切片染色室及阅片室,配备进口全自动脱水机、包埋机、石蜡切片机、冰冻切片机、烘片仪、荧光显微镜等现代化组织病理科研设备,具备多种组织染色技术,可提供石蜡切片、冰冻切片、免疫组化、免疫荧光,特殊染色等病理切片染色服务。
  
 
石蜡切片
 


 
冰冻切片
 
  

免疫荧光
 
  
 
特殊染色
 
 
 
  
  2、药物代谢动力学
  
  简称药代动学或药动学,主要是定量研究药物在生物体内的过程。通常,先获得药物在体液(如血浆或全血)中的浓度曲线,然后利用数学模型对之进行研究以描述出药物在体内的动态规律(吸收、分布、代谢和排泄)。一个典型的PK研究通常包括三个步骤:动物给药、样本采集及样品分析。
 
一键拨号 一键导航
扫码反馈

扫一扫,反馈当前页面

咨询反馈
扫码关注

qy千亿国际-千亿(中国)唯一官方网站

返回顶部